연세가 있고 몸의 기력이 떨어졌을 때 찾아오는 대상포진은 이제 더 이상 나이와 상관없이 몸을 괴롭히는 현대병이 되어가고 있습니다. 그리고 치료시기를 놓치게 될 경우 죽음에 이를 수 있는 무서운 질병이기도 합니다. 하지만 예방이 가능한 질환입니다. 대상포진 예방접종 가격, 대상포진 초기증상 및 치료방법에 대해 알아보도록 하겠습니다.

대상포진이란
나이가 어렸을 때 피부병의 일종인 수두라는 병에 걸렸던 적이 있을 겁니다. 그때 수두가 완치 판정을 받았다고 하더라도 바이러스는 체내에서 오랫동안 잠복된 상태로 존재하게 됩니다. 그러다 여성의 경우 폐경기가 되면 신체의 면역체계가 약해지면 몸에 잠복하고 있던 수두 바이러스가 재활성화되면서 대상포진으로 나타나게 됩니다.
대부분 15세 미만의 유아 및 아동에게 수두가 발생합니다. 그중 3~4세에 발생 빈도가 가장 높은 편입니다. 수두-대상포진 바이러스에 의해 나타나는 질환이 바로 대상포진입니다. 바이러스성 질환인 대상포진은 몸속에 잠복기 상태로 존재하던 바이러스가 다시 활성화되면서 발병하기 때문에 이미 수두를 앓은 경험이 있는 사람에게 주로 나타납니다. 그렇기 때문에 대상포진은 수두와 아주 긴밀한 연관관계가 있습니다.
우리 몸의 신경은 척수뼈를 기준으로 좌우로 한 가닥씩 나옵니다. 그런데 대상포진에 걸리게 되면 척추뼈를 중심으로 한쪽으로만 대상포진 증상인 물집이 생기고 통증이 발생하는 일반적인 특징입니다. 이 수두-대상포진 바이러스는 몸의 컨디션이 좋을 때는 아무런 증상이 없습니다. 하지만 체력이 약해지거나 면역력이 떨어지는 경우 다시 활동을 시작하면서 대상포진이라는 질병을 일으킵니다.






대체로 50대 이상의 연령층에서 나타나는 대상포진은 수두-대상포진 바이러스가 원인이 됩니다. 15세 미만에 수두를 앓았던 경험이 있다면 성인이 된 이후에 신체의 면역력이 약화되었을 때 증상으로 나타나게 됩니다. 과거에 수두에 걸린 적이 없다고 하더라도 발병하여 증상이 약하게 지나갔을 수 있기 때문에 발병 여부를 인지하지 못했을 수 있습니다.
그러나 최근 들어 대상포진은 50대 이상의 노령층에서만 나타나는 질병이 아닌 것으로 확인되고 있습니다. 전체 발병비율의 5% 내외는 20세 이상의 성인환자입니다. 즉 성인이 된 후에도 수두와 대상포진에 걸릴 수 있습니다.
대상포진 초기증상
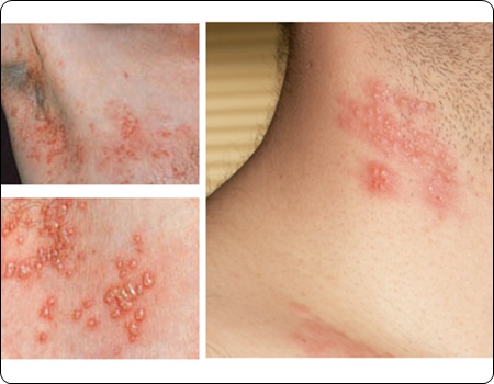
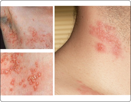
대상포진 초기증상은 사람마다 경증에서 중증까지 여러 가지 형태로 나타납니다. 수두와 대상포진의 증상은 얼굴과 눈 주위를 주로 나타나지만 신체의 어느 부위에서나 보일 수 있습니다. 대상포진 환자의 최대 96%가 통증 증상을 느낀다고 합니다. 특히 참기 어려운 피부병 증상을 보이며 환자 중 42%가 극심한 통증을 호소합니다.
두통, 몸살, 발열, 오한, 가려움증 등의 증상이 있습니다. 옆구리와 가슴 부위에 띠 모양의 발진이 나타납니다. 얼굴, 목, 엉덩이 등에도 피부 발진 증상이 확인됩니다. 초기 감기 몸살과 증상이 유사하여 감기로 오인될 수 있습니다.
대상포진 초기증상의 특징 중 하나는 바이러스가 신체의 신경을 따라 붉은 피부 발진으로 나타난다는 것입니다. 또한 피로감과 두통을 함께 느끼는 감기 증상으로 시작됩니다. 감기 몸살처럼 오한이 있고 피부의 특정 부위에 심한 통증이 느껴지고 수포가 시작됩니다. 수포는 신경을 따라 몸의 한쪽 방향으로 띠 모양을 이루며 나타납니다. 그래서 오른편 또는 왼편에만 증상이 보이는 특징이 있습니다. 대상포진 초기증상은 초기 감기 몸살과 증상이 비슷하게 나타나기 때문에 자칫 감기로 알고 치료 시기를 놓치는 경우가 있습니다.















대상포진 예방접종 가격
요즘 대상포진은 3명 중의 1명이 걸리는 흔한 질병이 되었습니다. 2005년 이후에 때어났다면 수두 예방접종을 필수로 진행했을 것입니다. 때문에 대상포진에 걸리지 않을 수 있습니다. 그러나 그 이전에 태어났다면 대상포진 예방접종 시기에 주사를 맞는 것이 좋습니다. 왜냐하면 한번 앓고 지나갔다고 하더라도 재발빈도가 높은 질병이기 때문입니다. 재발방지를 위해서라도 대상포진 예방접종을 꼭 해야 합니다.
대상포진 예방접종 가격은 국산 백신과 수입백신에 따라 가격이 달라집니다. 그리고 대상포진 예방접종 가격은 병의원급, 보건소 등에 따라 예방접종 비용의 차이가 있습니다. 대상포진은 면역연관 질환으로 임산부, 이미 병에 걸려 치료를 받고 있는 환자 그리고 스테로이드제를 처방받은 환자는 예방접종을 하지 않아야 합니다.
대상포진은 독감처럼 개발된 백신이 있어서 예방접종을 할 수 있습니다. 조스타박스나 스카이 조스터의 경우 한 번만 접종을 하면 됩니다. 그리고 대상포진 예방접종 가격은 13만 원선에서 15만 원 전후라고 합니다. 투여되는 약의 종류에 따라 약효 유지 기간이 다를 수 있습니다. 대략 5~7년까지 각각 다르며 경우에 따라서는 접종 후 6~12개월 후 다시 접종을 해야 합니다. 싱그락스의 경우 만 50세 이상 성인이 접종하는데 2회 접종해야 하며 대상포진 예방접종 가격은 50~60만 원선입니다.
다른 백신의 경우 예방접종을 하게 되면 예방률은 약 60% 정도입니다. 그리고 1회 예방접종의 효과는 약 5~7년가량 지속된다고 알려져 있습니다. 또한 예방접종일로부터 10년 후에 부스터샷으로 추가 1회 예방접종이 가능합니다. 60대 이상의 경우에는 약 50% 확률로 예방이 가능합니다.
우리나라에서는 현재 50세 이상을 대상포진 접종 대상자로 구분하여 예방접종을 진행하고 있습니다. 하지만 예방주사를 맞았다고 하더라도 대상포진을 피해 갈 수는 없습니다. 다만 예방접종을 통해 걸릴 확률을 낮출 수 있고 대상포진에 걸렸다고 하더라도 증상과 통증이 경미하며 빨리 회복할 수 있고 추가적인 합병증을 막을 수 있습니다.
70세를 대상으로 2013년부터 국가필수예방접종을 제도를 도입한 영국의 경우 70대 이상 대상포진 발병률이 33%로 현저하게 감소했습니다. 그리고 대상포진 발병 후 신경통에 걸릴 확률과 관련하여 70∼80%의 예방효과를 확인하였습니다.















대상포진 무료접종 대상자
우리나라는 만 65세 이상부터 대상포진 예방접종 무료 접종 대상자가 됩니다. 각 시군 지역의 보건소에 문의하게 되면 무료 접종을 받을 수 있습니다. 보건소에서 지원하는 대상포진 예방접종은 최대 1회까지 무료접종 할 수 있습니다.
대상포진 백신은 비보험 항목으로 정해져 있기 때문에 병원마다 가격이 각각 다를 수 있습니다. 때문에 대상포진 예방접종 가격은 접종자에게 비용적인 부담이 클 수 있습니다. 이로 인해 정부에서는 복지정책의 하나로 만 65세 이상과 취약계층 대상 대상포진 무료 예방 접종을 실시하고 있습니다. 대상자라면 집에서 가까운 보건소에 문의해 봐도 좋을 듯합니다.
대상포진 예방접종 종류
대상포지 예방접종에는 조스타박스주, 스카이조스터, 싱그릭스 이렇게 3종류가 있습니다.
조스타박스주: msd에서 생산한 백신 (1회 접종)
스카이조스터: SK 바이오사이언스 회사의 제품 (1회 접종)
싱그릭스: GSK에서 생산한 백신 (2회 접종)
조스타박스주와 스카이조스터주는 1회 접종으로 마무리됩니다. 반면에 싱그릭스는 총 2회 접종을 해야만 예방 효과를 볼 수 있습니다. 3종류 중 예방 효과는 싱그릭스가 가장 뛰어납니다. 50세 이상의 경우 7년 동안 추적 관찰을 했을 때 싱그릭스를 접종했던 사람들의 97.2%에서 대상포진 예방 효과가 있었다고 밝혔습니다.
싱그릭스의 장점은 사백신이라는 것입니다. 사백신이란 바이러스를 인공 배양해서 열처리나 약품처리를 통해 살아있는 병원균을 비활성화시키는 백신을 말합니다. 때문에 비교적 면역력이 약한 사람들에게 사용이 가능합니다. 반면에 스카이조스터주와 조스타박스주는 생백신입니다. 이 백신은 바이러스의 독성을 제거한 백신으로 몸에 해로운 독성은 제거했지만 아직 병원균이 살아 있기 때문에 신체의 컨디션이 병원균을 이겨낼 수 있는 상태일 때 접종해야 합니다. 이런 이유로 조스타박스 백신은 면역력이 심하게 약해진 환자에게는 직접 사용할 수 없습니다. 때문에 치료 목적이 아닌 예방접종으로만 활용되고 있습니다.
싱그릭스는 다른 백신에 비해서 상대적으로 부작용이 많은 편입니다. 싱그릭스를 접종했을 경우 다른 주사를 접종한 사람보다 2~3배가량의 부작용이 나타납니다. 나타나는 부작용의 증상은 대상포진에 걸렸을 때 나타나는 증상과 동일하게 발진과 수포가 나타납니다. 부작용이 발생하는 비율은 대략 70%에서 80% 사이라고 하니 상당히 높은 비율이라고 할 수 있습니다. 조스타박스주와 스카이조스터주는 같은 조건의 실험에서 70%가량의 예방 효과가 있다고 밝혀졌습니다. 그리고 싱그릭스보다 부작용이 적고 안전한 편입니다.















대상포진 치료방법
대상포진 치료방법은 피부 병변의 모양을 확인한 후에 진단하게 됩니다. 대상포진의 증상 중 하나인 수포는 신체의 신경을 따라 띠를 두르며 나타나며 발진, 수포, 농포, 가피의 여러 단계가 산재하기 때문입니다. 하지만 피부 변화가 나타나지 않는 경우에는 직접 피부 병변을 긁어 현미경적 검사, 바이러스 배양 검사, 분자 유전자 검사를 시행한 후 진단을 받게 됩니다.
대상포진 치료방법-항바이러스제
일반적인 대상포진 치료방법은 병원서 항바이러스제를 처방받아 복용하는 것입니다. 발병 초기에 항바이러스제를 투약하는 것이 가장 빠른 효과를 볼 수 있습니다. 대상포진은 수두-대상포진 바이러스가 활성화되면서 발생하는 것이기 때문에 바이러스의 성장 및 증식을 제한하는 것이 가장 필요한 조치입니다. 증상 발생 후 72시간 이내에 항바이러스제를 복용하게 되면 바이러스의 활성기간을 줄일 수 있습니다. 이는 빠른 피부 병변의 회복을 돕고 급성 통증 기간을 줄일 뿐만 아니라 합병증 발생률도 낮출 수 있습니다.
대상포진 치료방법-진통제 투약
증상을 완화시키기 위해서는 소염 진통제를 사용할 수 있습니다. 소염 진통제는 항균, 항염 작용에 도움이 되며 피부에 직접 바르는 크림이나 연고 형태가 있습니다. 진통제 연고의 경우에는 일시적으로 피부 자극이나 작열 등의 부작용이 있을 수 있으니 처음 사용할 경우 피부 상태를 자세하게 살펴봐야 합니다.
대상포진 치료방법-드레싱 치료
통증 너무 심한 경우에는 진통제를 복용하기도 하지만 이미 수포가 생긴 부위가 있다면 연고를 처방받게 됩니다. 그러나 증상이 심해지면 환부의 피부가 벗겨져서 2차 세균 감염의 위험성에 노출되게 됩니다. 때문에 물집이 발생한 부위를 깨끗하게 소독하는 것이 중요합니다. 또한 물집이 큰 것은 터뜨려서 피부가 벗겨지지 않도록 치료를 받아야 합니다.
대상포진 치료방법- 레이저 치료
레이저 치료는 열을 내지 않으면서도 다른 피부의 추가적인 손상 없이 피부 표면에 투과할 수 있습니다. 이 치료방법은 피부 재생 효과는 물론 항염증 효과와 통증 완화 등의 효과를 볼 수 있습니다.
대상포진 예방접종 가격, 대상포진 초기증상 및 치료방법에 대해 알아보았습니다.
엠폭스 증상 및 원인 (ft. 원숭이 두창 감염경로 및 치료제 총정리)
엠폭스 증상 및 원인 (ft. 원숭이 두창 감염경로 및 치료제 총정리)
일주일 사이에 국내 감염자가 추가로 확진되면서 엠폭스 환자가 10명으로 늘었습니다. 해외 여행력은 없는데 잠복기 동안 위험노출 이력이 있고 초기 의심증상이 보이는 경우라서 대상자로 분
www.richmom119.com
공황장애 초기증상 및 치료방법 (ft. 자가진단)
어느 날 갑자기 버스나 지하철을 이용하는 중에 극심한 공포와 불안이 엄습해 온 경험이 있을 겁니다. 어떠한 외부적인 위협이 없었는데 말입니다. 사람마다 정도의 차이가 있을 수 있지만 어지
www.richmom119.com
댓글