일주일 사이에 국내 감염자가 추가로 확진되면서 엠폭스 환자가 10명으로 늘었습니다. 해외 여행력은 없는데 잠복기 동안 위험노출 이력이 있고 초기 의심증상이 보이는 경우라서 대상자로 분류되었습니다. 그리고 유전자 검사를 실시하였고 양성 결과가 나왔습니다. 엠폭스 증상 및 원인 그리고 원숭이 두창 감염경로 및 치료제에 대해 총정리해 보았습니다.

엠폭스란
엠폭스(MPOX)는 원숭이두창 바이러스(Monkeypox virus)에 감염되었을 경우 발생하게 되는 급성 발진성 감염병입니다. 세계보건기구는 2022년 11월 28일 MPOX를 새로운 영어 질병 동의어로 채택하였습니다. 이후 우리나라에서는 2022년 12월 14일 한글 질병명을 원숭이두창에서 엠폭스로 변경하였습니다.
엠폭스(원숭이두창)는 실험실 사육 원숭이에서 1958년 처음 발견되었습니다. 1970년 콩고민주공화국에서 인체감염 첫 사례가 보고되었습니다. 이전에는 중앙아프리카 및 서부 아프리카의 농촌 열대우림지역에서 주로 발생하는 풍토병이었습니다.
엠폭스가 발생한 국가에는 중앙아프리카공화국, 콩고민주공화국, 카메룬, 가봉, 코트디부아르, 라이베리아, 나이지리아, 콩고, 시에라리온, 남수단(유입사례만 보고), 베냉(유입사례만 보고), 가나(동물에서만 확인)등의 중앙아프리카와 서아프리카 국가로 알려져 있습니다. 그러다 2022년 전 세계적으로 확산되기 시작했습니다. 2022년 5월 이후 유럽과 북미를 중심으로 다수의 국가에서 이전에 발생한 풍토병지역과 전혀 연관성이 없는 감염사례가 발표되고 있습니다. 이례적으로 유행하여 환자가 증가하고 발생지역이 확대되고 있습니다.

엠폭스 증상
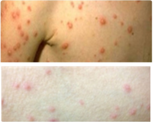
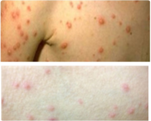
엠폭스 증상은 초기 감기와 유사합니다. 발열, 오한, 림프절 부종, 피로, 근육통 및 요통, 두통, 호흡기 증상(인후통, 코막힘, 기침 등) 등이 나타납니다. 감기 증상이 시작된 후 보통 1~4일 후에 발진이 나타납니다.
2022년 5월 이후 비풍토병 국가에서 유행 중인 사례는 이전 엠폭스 증상과는 차이가 있습니다. 발진 전 발열 등의 증상이 없거나 발진 후에 발열 증상이 나타나기도 합니다. 특히 특정 부위인 항문생식기에 발진 수가 5개 미만으로 나타나기도 합니다. 그리고 구강 점막 궤양, 안구 통증, 항문궤양, 항문직장 통증, 이급후증 등을 동반하는 사례가 다수 보고되고 있습니다.















발진은 얼굴, 입, 손, 발, 가슴, 항문생식기 근처 등에서 주로 나타날 수 있습니다. 발진은 주로 반점부터 시작하여 여러 단계로 진행됩니다. 처음에는 반점이었다가 구진이 되고 수포(물집)가 생깁니다. 그리고 고름이 되고 딱지로 진행됩니다. 엠폭스 증상 초기에는 뾰루지나 물집처럼 보일 수 있습니다. 하지만 통증과 가려움증 등이 동반되기도 합니다.
2022년 이후 유럽과 북미를 중심으로 발생 중인 엠폭스(원숭이두창)는 서아프리카 계통으로 대부분 2~4주 후 자연 치유됩니다. 현재 치명률은 1% 미만으로 보고되어 있습니다. 특히 면역저하자, 임신 및 모유 수유자, 8세 미만 소아, 습진 병력이 있는 경우에는 중증도가 높을 수 있습니다.
엠폭스 원인 및 원숭이 두창 감염경로
엠폭스(원숭이두창)는 인수공통감염병입니다. 주로 원숭이두창 바이러스에 감염된 사람이나 감염된 동물에게 원인으로 밝혀졌습니다. 쥐, 다람쥐, 프레리도그와 같은 설치류 및 원숭이 등을 통해 감염되며 그 이외의 오염된 물질에 접촉할 경우 감염될 수 있습니다.
- (피부병변 부산물) 감염된 사람‧동물의 체액, 피부·점막 병변(발진, 딱지 등)에 직접 접촉
- (매개물) 감염된 사람‧동물이 사용한 물건, 천(의류, 침구 또는 수건) 및 표면에 접촉
- (비말) 호흡기 분비물(코, 구강, 인두, 점막, 폐포에 있는 감염비말)에 접촉
- (기타) 태반을 통해 감염된 모체에서 태아로 수직감염
엠폭스 감염경로는 주로 유증상 감염 환자와의 접촉을 통해 감염될 확률이 높습니다. 생활 속에서 비말전파도 가능 합니다. 장시간 밀폐된 공간에 함께 있거나 혹은 근접거리 1M 이내에서 3시간 이상 지속적으로 노출되었을 경우 감염의 위험이 크다고 보고 되었습니다. 하지만 호흡기감염병에 비해 전염 가능성이 낮은 편입니다. 그리고 원숭이두창 바이러스가 포함된 미세 에어로졸을 통한 공기전파에 대해서는 아직 보고된 바가 없습니다. 일부 엠폭스(원숭이두창) 환자에서 무증상 감염 사례가 나타나고 있지만 엠폭스 무증상 감염자의 바이러스 전파 가능성에 대해서는 확실한 근거가 아직 발견된 바 없습니다.















엠폭스 검사방법
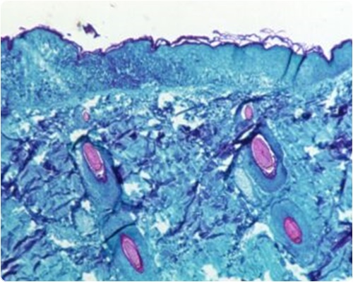
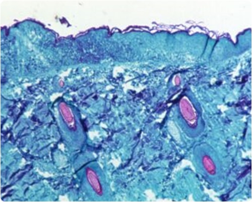
엠폭스 증상으로 의심될 경우 검사 방법은 유전자 검출검사가 필요합니다. 이는 의사환자의 구인두도말, 피부병변액, 피부병변조직, 가피 및 혈액 등에서 원숭이두창 바이러스에 존재하는 특이 유전자가 존재하는지 확인하는 절차입니다.
엠폭스 치료제
엠폭스에 감염되었다면 대부분 초기에는 경미하게 증상이 나타납니다. 이러한 경우 주로 대증적인 증상 완화 치료를 시행합니다. 그러다 2-4주 후 완치가 되는 것으로 보고되고 있습니다. 하지만 면역저하자, 소아, 임산부, 수유부, 기저질환자 등이 있는 고위험군의 경우 드물게 출혈, 패혈증, 뇌염, 융합된 병변 등의 중증 증상이 나타나기도 합니다. 엠폭스 증상 이후 합병증으로는 이차세균감염, 심한 위염, 설사, 탈수, 기관지폐렴 등이 발생할 수 있습니다. 폐렴과 같은 합병증, 뇌염, 눈에 감염이 일어난 경우에는 생명에 위험이 될 정도로 치명적일 수 있습니다.
엠폭스 진단검사 후 결과가 양성으로 확인되면, 격리 및 입원치료를 해야 합니다. 증상에 따른 대증치료를 받게 되는데 의료진은 환자의 중증도와 사망 위험도를 고려하여 치료하게 됩니다. 필요에 따라서는 항바이러스제 같은 치료제를 투여하게 됩니다. 테코비리마트이라는 항바이러스제를 투여해야 하는 경우는 환자에게 기대되는 임상적 유익성이 위해성을 상회하는 경우에만 사용하게 됩니다. 엠폭스 치료와 관련해서는 담당주치의와 상의가 필요합니다.















엠폭스 예방법 (예방백신)
미 FDA와 유럽 EMA에서는 두창 및 엠폭스 예방 목적으로 허가된 3세대 두창백신을 도입하였습니다. 엠폭스 감염 전에 이루어지는 예방접종은 주로 원숭이두창 바이러스 노출 가능성이 높은 실험실 요원, 역학조사관, 치료병상 의료진 등이 대상이 됩니다. 노출 후 접종은 확진자와 접촉 강도가 중위험 이상인 노출자가 접종 대상이 됩니다. 일반인은 엠폭스 예방백신 접종을 꼭 할 필요는 없습니다.
예방을 위한 주의사항
엠폭스에 감염된 사람, 감염된 동물 또는 바이러스에 오염된 물질과 접촉할 경우 전염될 수 있으므로 주의해야 합니다.
- 감염의 위험이 있는 사람 또는 동물과의 직접적이거나 간접적인 접촉을 피해야 합니다.
- 감염된 환자가 사용한 식기, 컵, 침구, 수건, 의복 등을 함께 사용하는 것을 피해야 합니다.
- 실외활동 후에는 반드시 비누와 물로 손을 자주 씻거나 알코올 성분의 손 소독제를 이용합니다.
- 음식을 먹거나 얼굴을 만지기 전에는 꼭 손소독이 필요합니다.
엠폭스 Q&A
질문 1. 최근 엠폭스가 발생하는 비풍토병 국가는 어디인가요?
2022년 5월 영국에서 1건의 원숭이두창 유입사례가 있었습니다. 이후 2022년 12월 21일 기준으로 미국(29,687명), 브라질(10,293명), 스페인(7,416명), 프랑스(4,114명), 콜롬비아(3,908명) 등 다수 국가에서 감염사례가 보고되고 있습니다.
총 발생 국가는 92개국으로 스페인, 프랑스, 독일, 영국, 네덜란드, 포르투갈, 이탈리아, 벨기에, 스위스, 오스트리아, 덴마크, 스웨덴, 아일랜드, 폴란드, 노르웨이, 헝가리, 그리스, 룩셈부르크, 체코, 슬로베니아, 루마니아, 몰타, 세르비아, 크로아티아, 핀란드, 아이슬란드, 슬로바키아, 튀르키예, 에스토니아, 리투아니아, 안도라, 불가리아, 키프로스, 라트비아, 모나코, 보스니아헤르체고비나, 몬테네그로, 몰도바, 조지아, 러시아, 우크라이나, 산마리노입니다.
미국, 브라질, 페루, 콜롬비아, 캐나다, 멕시코, 칠레, 아르헨티나, 볼리비아, 에콰도르, 도미니카공화국, 파나마, 과테말라, 자메이카, 코스타리카, 온두라스, 우루과이, 베네수엘라, 바하마, 가이아나, 바베이도스, 쿠바, 파라과이, 엘살바도르, 호주, 뉴질랜드, 이스라엘, 아랍에미리트, 사우디 아라비아, 레바논, 카타르, 요르단, 바레인, 이란, 싱가포르, 인도, 태국, 일본, 필리핀, 대만, 한국, 중국(홍콩포함), 베트남, 인도네시아, 스리랑카, 남아프리카공화국, 모로코, 수단, 이집트, 모잠비크에서 엠폭스 환자가 보고되었습니다.
국외 발생현황은 해외감염병 NOW 사이트에서 확인할 수 있습니다.
질문 2. 엠폭스에 감염되어도 안심할 수 있나요?
엠폭스에 감염되면 대부분 경미하게 증상이 나타납니다. 대체로 2-4주 후 완치가 되는 것으로 보고되고 있습니다. 때문에 대부분 엠폭스 증상을 보이는 환자는 대중적인 증상 완화 치료만으로도 회복이 가능합니다. 하지만 고위험군에 속하는 면역저하자, 소아, 임산부, 수유부, 기저질환자 등에 경우에서 출혈, 패혈증, 뇌염, 융합된 병변 등의 중증 증상이 진행되기도 합니다. 또한 이차세균감염, 심한 위염, 설사, 탈수, 기관지폐렴 등의 합병증이 발생할 수 있습니다. 그리고 폐렴과 같은 합병증이나 뇌염 맟 눈에 감염이 일어난 경우에는 치명적일 수 있으니 전문가와 상의하고 주의가 필요합니다.






질문 3. 국내에서 엠폭스 확인을 위한 진단 검사 방법과 소요시간은 어떻게 되나요?
엠폭스 진단검사는 피부병변조직, 가피, 피부병변액, 구인두도말과 혈액 검체에서 유전자 검출검사법으로 시행되고 있습니다. 검사에 필요한 시간은 엠폭스환자의 검체가 검사실에 접수된 후 약 6시간이 걸립니다.
질문 4. 잠복기에 진단검사를 하면 엠폭스 감염 확인이 가능한가요?
엠폭스는 감염병 특성상 증상이 나타나기 전에는 바이러스 유전자가 검출되지 않기 때문에 감염 확인이 어려울 수 있습니다.
질문 5. 엠폭스 검사가 가능한 의료기관이 있나요?
현재 엠폭스 진단검사는 질병관리청과 시도 보건환경연구원에서 진단검사가 수행되고 있습니다. 의료기관을 방문하여 의사가 엠폭스가 의심이 된다고 판단하면 바로 보건소에 신고하게 됩니다. 만약 감염환자에 해당할 경우 이후 검사 절차가 진행됩니다.
질문 6. 밀접접촉자의 기준은 무엇인가요?
밀접접촉자의 기준은 확진환자가 첫 증상이 발생한 날로부터 피부병변 가피가 탈락될 때까지 감염병환자등과 다음과 같은 접촉이 있는 경우에 해당합니다.
- 신체 직접 접촉(성접촉 포함)
- 오염된 도구(의복, 침구류 등) 접촉
- 적절한 보호구를 착용하지 않고 1m 이내 대면 접촉
- 오염된 환경에서 흡입 또는 점막이 노출된 경우
질문 7. 엠폭스에 대한 예방 백신이 있나요?
현재 두창과 엠폭스 모두에 대해 효과성이 입증된 3세대 두창 백신(JYNNEOS)이 도입되었습니다.
질문 8. 엠폭스 예방접종이 가능한가요?
엠폭스 백신 예방접종은 상대적으로 바이러스 노출 가능성이 높은 고위험군이 접종 대상입니다. 이는 확진자와의 접촉 강도가 중위험 이상인 밀접접촉자와 확진환자를 진료하게 되는 의료진 등을 의미합니다. 현재 일반 국민 접종은 필요하지 않으며 해외에서도 일반인이 아닌 고위험군 중심 대상자에게만 예방접종을 시행하고 있습니다.



최근 해외여행이 본격적으로 시작되고 있습니다. 하지만 엠폭스 확산으로 인해 걱정이 되기도 합니다. 때문에 해외여행을 준비하는 과정에서 해외감염병 NOW를 확인해 봐도 좋을 듯합니다. 해외감염병 NOW는 해외 여행자의 건강과 안전한 여행을 위해서 운영하는 홈페이지입니다. 나부터 지키는 우리 모두의 건강이라는 뜻입니다. 바로 지금 해야 한다는 의미의 영문 NOW라고 이름 지었습니다. 해외 여행지 국가를 검색하여 현재 감염병 발생 상황이나 예방주의에 대한 정보를 제공받을 수 있습니다.

엠폭스 증상 및 원인 그리고 원숭이 두창 감염경로 및 치료제 총정리에 해 보았습니다.
공황장애 초기증상 및 치료방법 (ft. 자가진단)
어느 날 갑자기 버스나 지하철을 이용하는 중에 극심한 공포와 불안이 엄습해 온 경험이 있을 겁니다. 어떠한 외부적인 위협이 없었는데 말입니다. 사람마다 정도의 차이가 있을 수 있지만 어지
www.richmom119.com
마그네슘 부족현상 및 눈떨림 마그네슘 효능
피곤이 누적되거나 수면이 부족하게 되면 몸의 균형이 깨질 때가 있습니다. 그리고 가끔 눈떨림이나 얼굴 근육이 미세하게 경련을 일으키는 때도 있습니다. 이럴 때는 마그네슘 부족현상을 의
www.richmom119.com
댓글